En nuestra unidad de Traumatología, somos especialistas en la cirugía de implante de prótesis, una solución eficaz para recuperar la movilidad, aliviar el dolor y mejorar la calidad de vida de pacientes con articulaciones gravemente dañadas por artrosis, traumatismos, enfermedades degenerativas u otras afecciones.
¿Qué es una prótesis articular?
Una prótesis es una estructura médica diseñada para reemplazar total o parcialmente una articulación deteriorada, como la cadera, la rodilla o el hombro. Estas prótesis están fabricadas con materiales biocompatibles y duraderos que permiten restaurar la funcionalidad de la articulación con excelentes resultados a largo plazo.

¿Cuándo se recomienda la cirugía?
La implantación de una prótesis suele indicarse cuando los tratamientos conservadores —como la fisioterapia, medicamentos o infiltraciones— dejan de ser efectivos. Si el dolor limita tus actividades diarias, afecta tu descanso o impide una vida activa, la cirugía puede ser la mejor opción.
Nuestro enfoque:
En la clínica combinamos experiencia quirúrgica, tecnología de vanguardia y un enfoque personalizado. Cada paciente es valorado por un equipo multidisciplinar que planifica la intervención con precisión, optimizando tanto la seguridad como la recuperación.
-
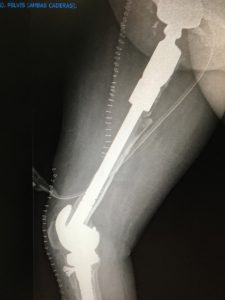
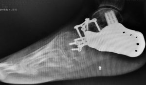
Tipos de Prótesis Óseas
-
Prótesis de cadera
Reemplaza parcial o totalmente la articulación de la cadera, aliviando el dolor y restaurando la movilidad en casos de artrosis, fracturas o necrosis femoral.

-
Prótesis de rodilla
Sustituye la articulación dañada por artrosis, traumatismos o deformidades. Puede ser total o unicompartimental (solo una parte de la rodilla).
-
Prótesis de hombro
Indicada cuando la articulación está deteriorada por artrosis, fracturas complejas o enfermedades degenerativas. Puede ser anatómica o invertida según la funcionalidad del manguito rotador. -
Prótesis de codo
Utilizada en casos de artritis severa, fracturas complejas o inestabilidad crónica. Permite restaurar el movimiento del brazo y reducir el dolor. -
Prótesis de muñeca
Indicada en enfermedades reumáticas o artrosis avanzada. Sustituye la articulación entre el radio y los huesos del carpo para preservar la movilidad. -
Prótesis de tobillo
Alternativa a la fusión (artrodesis) del tobillo. Mejora la calidad de vida de pacientes con artrosis severa permitiendo conservar cierto rango de movimiento.
-
Prótesis de dedos (interfalángicas y metacarpofalángicas)
Reemplazan articulaciones de los dedos afectadas por artritis reumatoide o traumatismos, ayudando a mantener la función de la mano. -
Prótesis tumorales (megaprótesis)
Diseñadas para sustituir grandes segmentos óseos resecados por tumores, generalmente en extremidades largas como fémur, húmero o tibia. Son altamente personalizadas.
-
Prótesis vertebrales
Empleadas en la columna para sustituir cuerpos vertebrales dañados por traumatismos, infecciones o cáncer. Ayudan a mantener la estabilidad y alineación espinal.
-
-
Técnicas mínimamente invasivas
-
Protocolos de recuperación rápida
Recuperación y seguimiento
La rehabilitación tras la cirugía es clave para lograr una recuperación completa. Te acompañamos en cada etapa del proceso, desde el preoperatorio hasta el seguimiento postoperatorio, con programas individualizados que favorecen una reincorporación progresiva a tus actividades cotidianas.
