Recupera el equilibrio, la función y la calidad de vida
Las malformaciones óseas pueden afectar tanto la alineación como la funcionalidad de los huesos y articulaciones, generando dolor, dificultad en el movimiento y problemas estéticos. En nuestra clínica, abordamos estas alteraciones con técnicas quirúrgicas avanzadas, orientadas a restaurar la anatomía y mejorar la calidad de vida del paciente.
¿Qué son las malformaciones óseas?
Se trata de alteraciones en la forma, tamaño o alineación de uno o varios huesos. Pueden ser congénitas (presentes desde el nacimiento) o adquiridas (tras fracturas mal consolidadas, enfermedades o crecimiento anormal). Estas deformidades pueden afectar:
-
Extremidades inferiores (fémur, tibia, peroné)
-
Extremidades superiores (húmero, radio, cúbito)
-
Columna vertebral
-
Articulaciones (como la rodilla, el tobillo o la muñeca)

¿Cuándo está indicada la corrección quirúrgica?
La cirugía se recomienda cuando la malformación ósea:
-
Provoca dolor o limitación funcional
-
Aumenta el riesgo de artrosis precoz
-
Afecta el equilibrio o la marcha
-
Genera problemas estéticos importantes
-
Compromete el desarrollo en niños o adolescentes

Técnicas quirúrgicas utilizadas
-
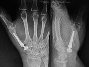
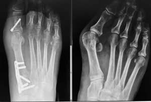
🔹 Osteotomías correctivas: se realizan cortes controlados en el hueso para corregir su alineación y fijarlos con placas o clavos.
-
🔹 Fijadores externos: dispositivos que permiten realizar correcciones progresivas en casos complejos.
-
🔹 Alargamiento óseo: indicado cuando hay diferencias de longitud entre extremidades.
-
🔹 Cirugía guiada por imagen: mayor precisión, menor invasión y mejor planificación.
Beneficios de la corrección
-
✅ Mejora de la alineación y función articular
-
✅ Disminución o eliminación del dolor
-
✅ Prevención del desgaste articular prematuro
-
✅ Mayor simetría corporal y estabilidad
-
✅ Aumento de la autonomía y movilidad
Enfoque integral y personalizado
Cada caso es valorado por nuestro equipo de traumatología y cirugía ortopédica, que realiza un estudio radiológico completo y planifica el tratamiento más adecuado según la edad, la localización de la deformidad y el estado general del paciente. Contamos con experiencia en cirugía infantil y de adultos, así como en técnicas de corrección progresiva y procedimientos reconstructivos complejos.
