En nuestra clínica dental en Málaga, te ayudamos a mejorar tu sonrisa con tratamientos de odontología estética personalizados. Combinamos salud, función y belleza dental para que sonrías con confianza, naturalidad y seguridad.
La odontología estética se enfoca en corregir imperfecciones dentales visibles, alineando la sonrisa con tus rasgos faciales y estilo personal, sin descuidar la salud bucal.
¿Qué es la odontología estética?
La odontología estética es una rama de la odontología que tiene como objetivo mejorar la apariencia de los dientes, encías y sonrisa. Los tratamientos estéticos más comunes incluyen:
-
Blanqueamiento dental profesional
-
Carillas dentales
-
Contorneado dental (remodelado estético)
-
Reconstrucciones con resinas estéticas
-
Corrección de la sonrisa gingival
Estos procedimientos pueden realizarse de forma individual o combinarse en un plan de estética dental integral.

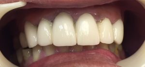
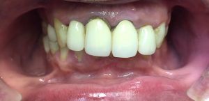
Sonrisa natural, resultados visibles
Cada sonrisa es única. Por eso, trabajamos con tecnología digital para diseñar tu sonrisa ideal antes de comenzar el tratamiento. Utilizamos materiales de alta calidad, técnicas mínimamente invasivas y una planificación cuidadosa para lograr resultados armónicos y duraderos.
La estética dental no solo mejora la apariencia, también refuerza la autoestima y la confianza personal.

¿Cuándo optar por un tratamiento estético?
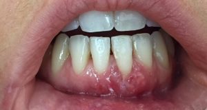
Los tratamientos de odontología estética están indicados en casos como:
-
Dientes manchados o amarillentos
-
Fracturas o desgastes en piezas dentales
-
Espacios entre los dientes (diastemas)
-
Forma, tamaño o alineación poco armónica
-
Encías desiguales o prominentes
Después de una evaluación estética, la Dra. María del Carmen Tena te propondrá el tratamiento más adecuado para lograr una sonrisa más atractiva y saludable.

Tratamientos personalizados y asesoramiento profesional
En nuestra clínica ofrecemos asesoramiento estético personalizado, analizando tu sonrisa, tus expectativas y la salud de tu boca. Nuestra prioridad es lograr un equilibrio entre lo funcional y lo estético, con un enfoque natural y conservador.
¿Quieres transformar tu sonrisa con odontología estética en Málaga?
Contáctanos y agenda tu primera consulta. Descubre cómo la estética dental puede cambiar tu sonrisa… y tu vida.
